Фотографии до и после лечения

Диагноз: открытая резцовая дезокклюзия, перекрёстная окклюзия на 15 зубе, эстетический дискомфорт и нарушенная функция.

Проведено: тотальная реабилитация на винирах E-Max (современный материал, сочетающий в себе высокую прочность, идеальную эстетику, надёжную фиксацию и долговечность)

вид спереди

вид справа

вид слева

Диагноз: осложнения кариеса

Проведено: изготовление виниров на 17-27 зубы

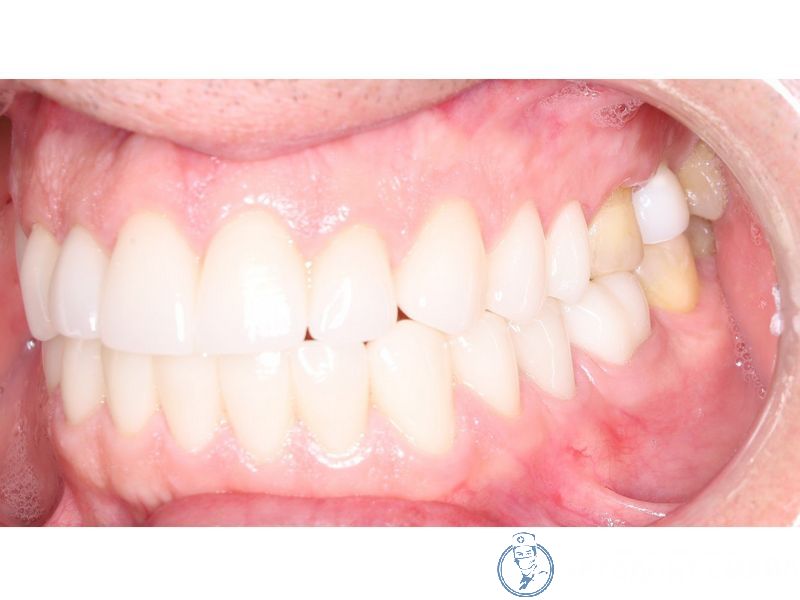
Диагноз: осложнения кариеса и адентия зубов

Проведено: изготовление виниров из пресс-керамики E-Max на 15-26 зубы

Диагноз: кариес центральных зубов

Проведено: установка композитных виниров

Диагноз: изменение цвета зуба из-за эндодонтического лечения

Проведено: изготовление винира из пресс-керамики E-Max на 21 зуб

Диагноз: кариес и сколы центральных зубов

Проведено: изготовление и установки керамических виниров из пресс-керамики E-Max на 11, 21 зубы

Диагноз: вторичная адентия 21 зуба, множественный кариес и старые реставрации на контактных поверхностях зубов

Проведено: имплантация 21 зуба и изготовление виниров из пресс-керамики на 15, 14, 13, 12, 11, 21, 22, 23, 24, 25 зубы

Диагноз: вторичный кариес

Проведено: санация полости рта и установка виниров из пресс-керамики на передние зубы (11, 12, 21, 22 зубы)

Диагноз: осложнения кариеса, устаревшие реставрации и коронки

Проведено: санация полости рта и установка виниров из пресс-керамики (13-26 и 34-44 зубы)