Результат лечения на керамической брекет-системе (длительность лечения 1 год и 3 месяца)
Диагноз: 1 класс по Энглю, нормальная окклюзия, сужение верхней челюсти, тортоаномалия 23 зуба


вид спереди


вид справа


вид слева


нижняя челюсть


верхняя челюсть
Результат лечения на самолигирующей брекет-системе (длительность лечения 2 года и 1 месяц)
Диагноз: 1 класс по Энглю (справа), 2 класс по Энглю (слева), сужение верхней и нижней челюсти, тортоаномалия 23 зуба, протрузия 32 зуба.


вид спереди


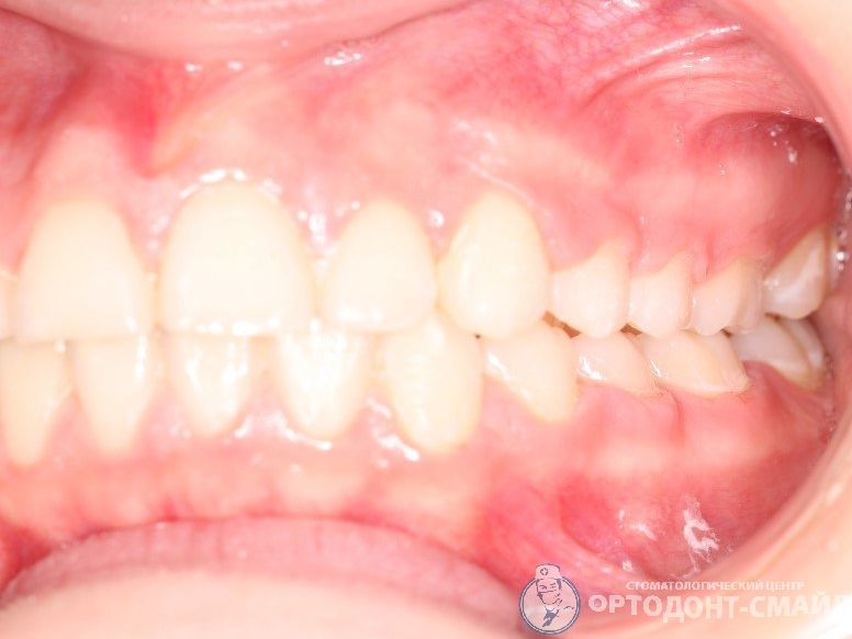
вид справа


вид слева


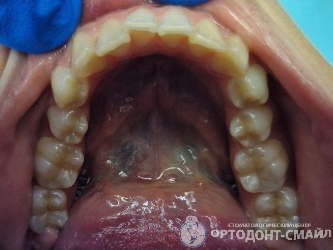
нижняя челюсть


верхняя челюсть
Результат лечения на самолигирующей брекет-системе (длительность лечения 1 год и 10 месяцев)
Диагноз: дистальная окклюзия, открытая резцовая дезокклюзия, сужение верхней и нижней челюсти, протрузия 12, 11, 21, 22, 41 зубов, тортоаномалия 43 зуба


вид спереди


вид справа


вид слева


верхняя челюсть
Диагноз: 1 класс по Энглю, нейтральная окклюзия, тремы и диастемы, тортоаномалия 33 и 43 зубов.
Проведено: лечение на лигатурной брекет-системе 1 год 3 месяца, установлены лингвальные ретейнеры, изготовлена индивидуальная каппа


вид спереди


вид справа


вид слева


нижняя челюсть


верхняя челюсть
Диагноз: 1 класс по Энглю, нейтральная окклюзия, сужение нижней челюсти, скученное положение центральной группы зубов, вторичная адентия 46 и 26 зубов.
Проведено: лечение на лигатурной брекет-системе 1 год 5 месяцев, установлены лингвальные ретейнеры, изготовлена индивидуальная каппа


вид спереди


вид справа


вид слева


нижняя челюсть


верхняя челюсть
Диагноз: 1 класс по Энглю, ретенция 17 зуба, тремы и диастемы на верхней и нижней челюсти.
Проведено: лечение на лигатурной брекет-системе 1 год 10 месяцев, установлены лингвальные ретейнеры, изготовлена индивидуальная каппа


вид спереди


вид справа


вид слева
Диагноз: мезиальная окклюзия, 3 класс по Энглю, сужение верхней и нижней челюсти, ретрузия 12, 22, 32, 42 зубов, протрузия 11, 21, 33 зубов, тортоаномалия 43 зуба.
Проведено: лечение на лигатурной брекет-системе 1 год 10 месяцев, установлены лингвальные ретейнеры, изготовлена индивидуальная каппа


вид спереди


вид справа


вид слева


нижняя челюсть


верхняя челюсть
Диагноз: дистальная окклюзия, сужение верхней и нижней челюсти, протрузия 13, 23, 33 зубов, ретрузия 12, 22, 32 зубов
Проведено: лечение самолигирующими брекетами в течение 1 года 11 месяцев, установка лингвальных ретейнеров, изготовление индивидуальной каппы.


вид спереди


вид справа


вид слева


нижняя челюсть

