Фотографии до и после лечения

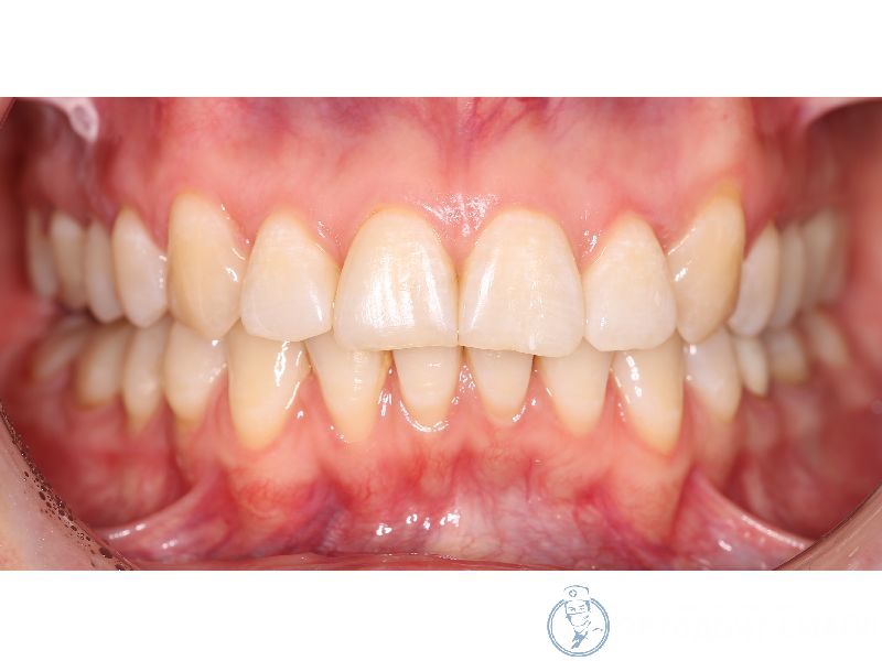
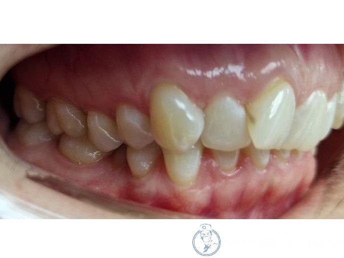
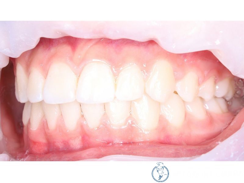
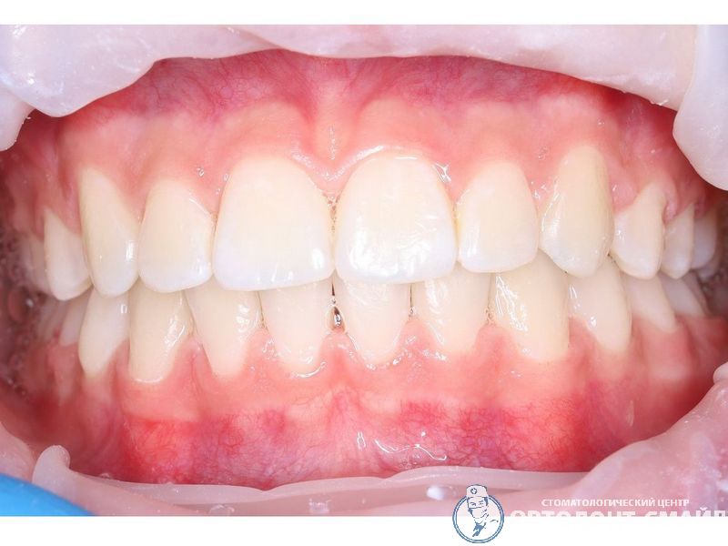
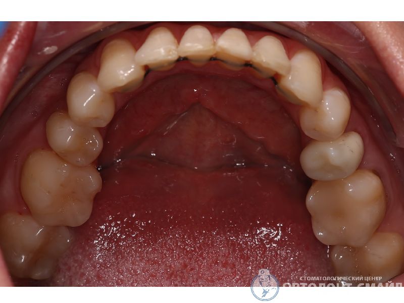
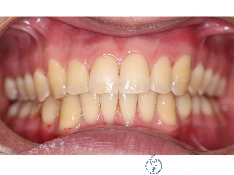
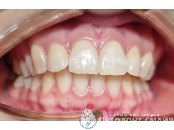
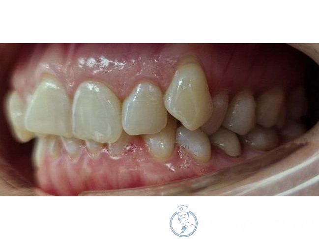
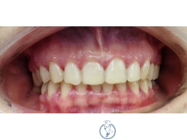
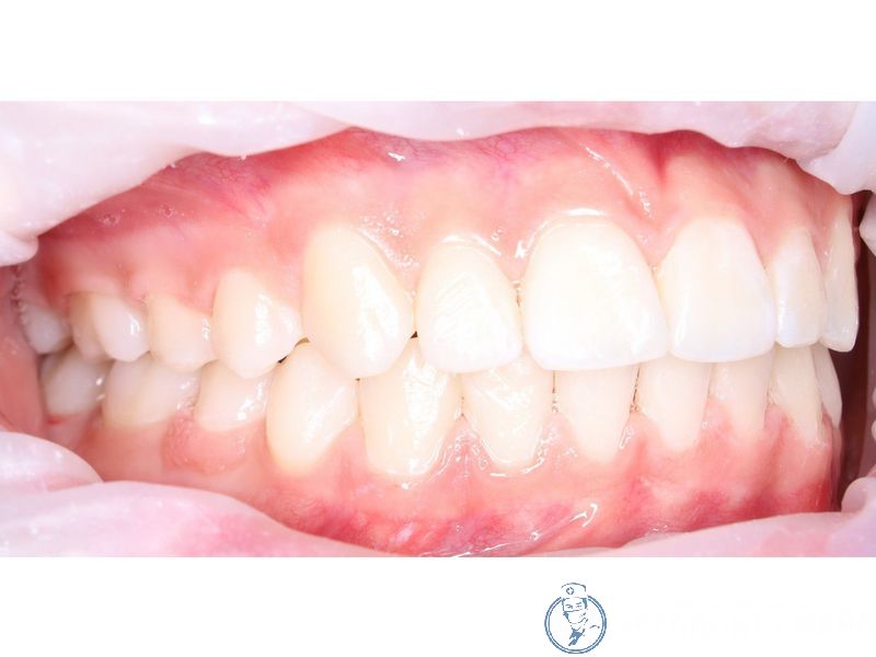
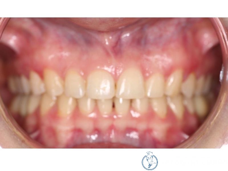
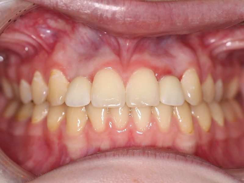
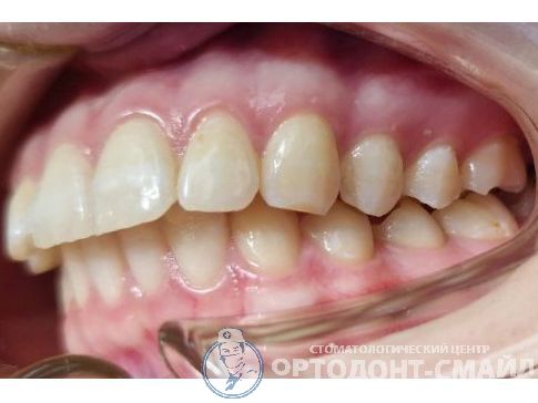
Результат лечения на самолигирующей брекет системе (срок лечения полтора года).

Диагноз: 1 класс Энгля, глубокий прикус, сужение в/ч и н/ч, скученное положение центральной группы зубов на в/ч и н/ч, тортоаномалия 11, 24 зубов, ретрузия 35 зуба

вид спереди

вид справа

вид слева

нижняя челюсть

верхняя челюсть

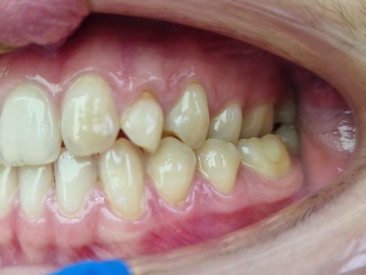
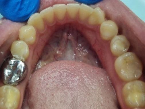
Результат лечения на самолигирующей брекет системе (срок лечения 1 год и 7,5 месяцев).

Диагноз: дистальная окклюзия, 2 класс Энгля, сужение в/ч и н/ч, супропозиция 23 зуба, скученность нижних фронтальных зубов

вид спереди

вид справа

вид слева

нижняя челюсть

верхняя челюсть

Результат лечения на лигатурной брекет-системе (срок лечения: 2 года).

Диагноз: 1 класс Энгля, глубокое резцовое перекрытие, скученное положение передней группы зубов н/ч, сагиттальная щель, адентия 36, 46 зубов

вид спереди

вид справа

вид слева

нижняя челюсть

верхняя челюсть

Результат лечения на лигатурной брекет-системе (срок лечения 2 года).

Диагноз: 1 класс Энгля слева, 2 класс Энгля справа, скученность зубов н/ч, сужение зубов обеих челюстей

вид спереди

вид справа

вид слева

нижняя челюсть

верхняя челюсть

Результат лечения на самолигирующей брекет-системе (длительность лечения 2 года и 5 месяцев).

Диагноз: 1 класс Энгля, перекрёстная окклюзия, адентия 12 и 22 зубов

вид спереди

вид справа

вид слева

нижняя челюсть

верхняя челюсть

Результат лечения на самолигирующей брекет-системе (пациент пришёл к нам 9 месяцев назад с уже установленными брекетами в другой клинике)

Диагноз: нейтральная окклюзия, тремы и диастемы.

вид спереди

вид справа

вид слева

нижняя челюсть

верхняя челюсть