Фотографии до и после лечения

Результат лечения на самолигирующей брекет-системе (срок лечения 2 года).

Диагноз: 1 класс Энгля справа, 2 класс Энгля слева, сужение в/ч и н/ч, ретрузия 32 и 42 зубов, тортоаномалия 25 зуба

вид спереди

вид справа

вид слева

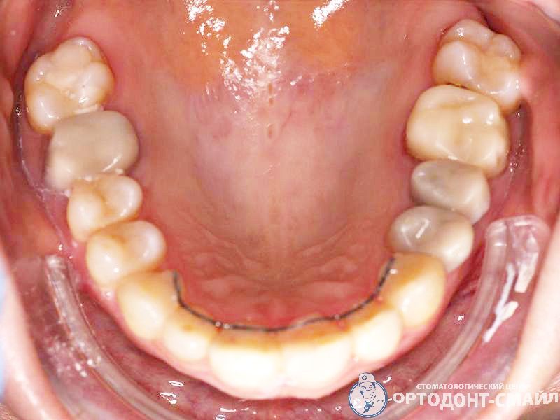
нижняя челюсть

верхняя челюсть

Проведено: лечение на самолигирующей брекет-системе (длительность лечения 2 года 3 месяца)

Диагноз: 1класс Энгля, сужение верхней и нижней челюсти, скученное положение центральной группы зубов.

вид спереди

вид справа

вид слева

нижняя челюсть

верхняя челюсть

Проведено: ортодонтическое лечение при помощи лигатурной брекет-системы (длительность 2 года 5 месяцев)

Диагноз: дистальная окклюзия, сужение верхней и нижней челюсти, тортоаномалия 15 зуба.

вид спереди

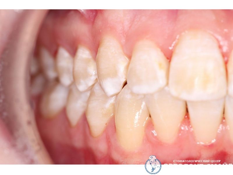
вид справа

вид слева

нижняя челюсть

верхняя челюсть

Проведено: ортодонтическое лечение при помощи лигатурной брекет-системы (длительность 1 год 5 месяцев)

Диагноз: глубокая дистальная окклюзия, сужение верхней и нижней челюсти, протрузия центральной группы зубов в/ч, скученное положение резцов н/ч.

вид спереди

вид справа

вид слева

нижняя челюсть

верхняя челюсть

Проведено: ортодонтическое лечение при помощи самолигирующей брекет-системы (длительность лечения 1 год 11 месяцев).

Диагноз: 2 класс Энгля, перекрестная окклюзия справа, сужение верхней и нижней челюсти, протрузия 43 и 13 зубов, ретрузия 12 зуба.

вид спереди

вид справа

вид слева

нижняя челюсть

верхняя челюсть

Результат лечения на керамической брекет-системе (длительность лечения 1 год и 3 месяца)

Диагноз: 1 класс по Энглю, нормальная окклюзия, сужение верхней челюсти, тортоаномалия 23 зуба

вид спереди

вид справа

вид слева

нижняя челюсть

верхняя челюсть

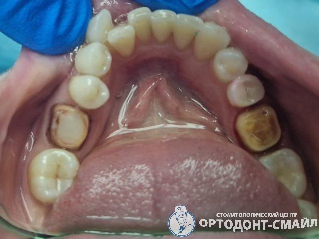
Результат лечения на самолигирующей брекет-системе (длительность лечения 2 года и 1 месяц)

Диагноз: 1 класс по Энглю (справа), 2 класс по Энглю (слева), сужение верхней и нижней челюсти, тортоаномалия 23 зуба, протрузия 32 зуба.

вид спереди

вид справа

вид слева

нижняя челюсть

верхняя челюсть

Результат лечения на самолигирующей брекет-системе (длительность лечения 1 год и 10 месяцев)

Диагноз: дистальная окклюзия, открытая резцовая дезокклюзия, сужение верхней и нижней челюсти, протрузия 12, 11, 21, 22, 41 зубов, тортоаномалия 43 зуба

вид спереди

вид справа

вид слева

верхняя челюсть

Диагноз: 1 класс по Энглю, нейтральная окклюзия, тремы и диастемы, тортоаномалия 33 и 43 зубов.

Проведено: лечение на лигатурной брекет-системе 1 год 3 месяца, установлены лингвальные ретейнеры, изготовлена индивидуальная каппа

вид спереди

вид справа

вид слева

нижняя челюсть

верхняя челюсть

Диагноз: 1 класс по Энглю, нейтральная окклюзия, сужение нижней челюсти, скученное положение центральной группы зубов, вторичная адентия 46 и 26 зубов.

Проведено: лечение на лигатурной брекет-системе 1 год 5 месяцев, установлены лингвальные ретейнеры, изготовлена индивидуальная каппа

вид спереди

вид справа

вид слева

нижняя челюсть

верхняя челюсть

Диагноз: 1 класс по Энглю, ретенция 17 зуба, тремы и диастемы на верхней и нижней челюсти.

Проведено: лечение на лигатурной брекет-системе 1 год 10 месяцев, установлены лингвальные ретейнеры, изготовлена индивидуальная каппа

вид спереди

вид справа

вид слева

Диагноз: мезиальная окклюзия, 3 класс по Энглю, сужение верхней и нижней челюсти, ретрузия 12, 22, 32, 42 зубов, протрузия 11, 21, 33 зубов, тортоаномалия 43 зуба.

Проведено: лечение на лигатурной брекет-системе 1 год 10 месяцев, установлены лингвальные ретейнеры, изготовлена индивидуальная каппа

вид спереди

вид справа

вид слева

нижняя челюсть

верхняя челюсть

Диагноз: дистальная окклюзия, сужение верхней и нижней челюсти, протрузия 13, 23, 33 зубов, ретрузия 12, 22, 32 зубов

Проведено: лечение самолигирующими брекетами в течение 1 года 11 месяцев, установка лингвальных ретейнеров, изготовление индивидуальной каппы.

вид спереди

вид справа

вид слева

нижняя челюсть

верхняя челюсть